Эритроциты — строение и функции
Эритроциты — это основная часть состава клеток крови. Количество их у здоровых людей колеблется от 4,5 до 5,5 миллиона в 1 куб.мм. Если расположить их все в одну линию, то она протянется на 187000 км, более чем в 4,5 раза больше земного экватора. Ежесекундный распад 10 миллионов эритроцитов возмещается поступлением в кровь такого же их количества из кроветворных органов.
Эритроциты человека — безъядерные тельца, похожие на двояковогнутые диски, с диаметром, равным в среднем 7 микронам (0,007 мм).
По современным представлениям эритроцит имеет губчатую структуру, пропитанную гемоглобином — носителем кислорода. В составе эритроцитов его более 90%.
Из гемоглобина и кислорода (Нв) образуется непрочный оксигемоглобин. Именно из-за него кровь такого цвета. Основная часть его состава белковая — глобин и небелковая — гем. Успехи современной биохимии позволили изучить этапы его образования, очень сложного и многоступенчатого. Гем способствует гемоглобину “рыхло” соединяться с кислородом, этим он обязан железу, которое присутствует в нем.
Связи кислорода и гемоглобина целиком зависит от содержания (концентрации, или «напряжения») этого газа в окружающей среде. Если раствор гемоглобина окружен воздухом, содержащим 20% кислорода, то гемоглобин почти полностью насытится кислородом, т. е. превратится в оксигемоглобин.
Лейкопения у детей
Прежде всего, важно учесть, что у детей количество лейкоцитов периферической крови непосредственно зависит от возраста. Поэтому лейкопения определяется, если лейкоциты понижены у ребенка от средневозрастной нормы на 30%
Низкие лейкоциты в крови у ребенка могут определяться в следующих случаях:
- При врожденных иммунодефицитных болезнях тимусного генеза.
- В случае вирусных и некоторых бактериальных инфекций, а также тяжелых токсических и вирусных состояний, сопровождаемых угнетением костного мозга.
- При синдроме Швахмана-Даймонда – редкой наследственной болезни, при которой отмечается дисфункция поджелудочной железы и врожденная нейтропения.
- При синдроме Костмана отмечается врожденная тяжелая нейтропения, так как нейтрофилы при этом заболевании не созревают, как это должно быть в норме.
- При ряде других заболеваний, среди которых: хроническое гранулематозное заболевание, дефицит миелопероксидазы, дефицит лейкоцитарной адгезии, синдром Чедиака-Хигаси.
- Также лейкопения у детей развивается вследствие лучевой терапии и химиотерапии, приема некоторых лекарств, при аутоиммунных заболеваниях, ВИЧ, гепатите.
При низком количестве лейкоцитов у детей могут отмечаться следующие проявления:
- частое развитие инфекционных болезней с поражением легких, придаточных пазух, ушей;
- язвы во рту;
- абсцессы кожи;
- пародонтоз;
- грибковые болезни;
- при недостатке адгезии лейкоцитов замедляется заживление ран;
- при синдроме Швахмана-Даймонда отмечается хроническая диарея, иногда жировая.
Причины развития заболевания
Существует очень много разных причин возникновения лейкопении. Перечислим некоторые из них:
- Бактериальные и вирусные инфекции. Самый распространенный пример — ОРВИ.
- Врожденные нарушения работы красного костного мозга — органа, который производит клетки крови.
- Онкологические заболевания, поражающие красный костный мозг, например, лейкозы, множественная миелома.
- Аутоиммунные заболевания, при которых происходит разрушение лейкоцитов или клеток-предшественниц в красном костном мозге.
- Тяжелые инфекции (например, пневмония, фурункулез, сепсис), при которых организм не успевает восполнить «израсходованные» белые кровяные тельца.
- Прием некоторых лекарственных препаратов.
- Саркоидоз — неинфекционная патология, при которой в разных органах развивается воспаление и образуются узелки (гранулемы).
- Апластическая анемия — заболевание, при котором в красном костном мозге перестают вырабатываться все виды кровяных телец. Развивается анемия, лейкопения и тромбоцитопения.
- ВИЧ-инфекция, СПИД.
- Голодание, неполноценное питание, нехватка витаминов в организме.
- Системная красная волчанка.
- Миелодиспластические синдромы — заболевания, при которых в результате мутаций нарушается нормальное кроветворение.
- Ревматоидный артрит.
- Туберкулез.
Лейкопения в онкологии
Снижение уровня лейкоцитов в крови нередко встречается у людей, страдающих злокачественными опухолями
Здесь причины тоже бывают очень разными, важно в них правильно разобраться, чтобы понять, как помочь пациенту
Нередко лейкопения возникает после химиотерапии, лучевой терапии и трансплантации красного костного мозга как побочный эффект этих видов лечения. Это происходит из-за того, что химиопрепараты и ионизирующие излучения уничтожают не только опухолевые, но и здоровые быстро размножающиеся клетки, в том числе в красном костном мозге. Лучевая терапия несет особенно высокие риски лейкопении, когда облучают несколько частей тела.
Тяжесть лейкопении во время курса химиотерапии зависит от видов и дозировок препаратов. Обычно уровень белых кровяных телец начинает снижаться через неделю с момента начала очередного цикла. Через 7–14 дней он достигает минимума. В это время наиболее высок риск заболеть инфекцией. Затем уровень лейкоцитов начинает постепенно подниматься. Обычно он возвращается к норме через 3–4 недели. После этого пациент готов к новому циклу химиотерапии.
К снижению уровня лейкоцитов может привести рак с метастазами. Это типичный симптом злокачественных опухолей кроветворной и лимфоидной ткани: лимфом, лейкозов, множественной миеломы.
Многие люди, страдающие злокачественными опухолями на поздних стадиях, находятся в ослабленном, истощенном состоянии, не могут полноценно питаться. У больных в отделении реанимации повышены риски тяжелых инфекций — сепсиса, пневмонии.
Наиболее высок риск лейкопении у онкологических больных старше 70 лет, у людей с изначально сниженной иммунной защитой: при ВИЧ/СПИД, приеме иммунодепрессантов после трансплантации органов, других сопутствующих заболеваниях, которые мы перечислили выше.
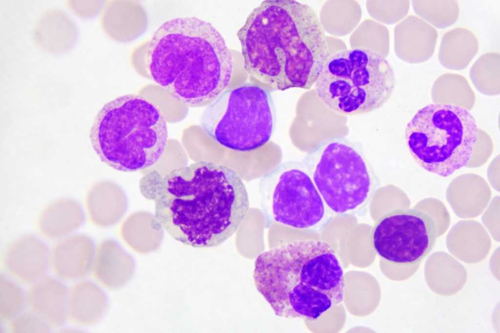
Моноциты
Причины развития моноцитоза:
Реактивный моноцитоз |
Опухолевый моноцитоз |
| — инфекции (вирусные, паразитарные, бактериальные, вызванные простейшими) — воспалительные заболевания — аутоиммунные заболевания (СКВ, ревматоидный артрит, узелковый полиартериит) — гранулематозные процессы (туберкулез, сифилис, бруцеллез, саркоидоз, язвенный колит, энтерит) — злокачественные новообразования (рак, саркома, миеломная болезнь) |
— острый монобластный и миеломонобластный лейкозы — хронический моноцитарный и миеломоноцитарный лейкозы |
Моноцитопения — встречается при гипоплазии кроветворения (гипоплазия и аплазия костного мозга, острые лейкозы, волосатоклеточный лейкоз, острые инфекции, применение некоторых лекарств).
Разбираем лейкоцитарную формулу
Наверное, все мы знаем о том, что высокие лейкоциты указывают на воспалительные или инфекционные процессы. Хотя говорить о лейкоцитах, что они высокие или низкие совершенно неправильно. Лейкоциты — это клетки, их размер всегда одинаков, и они, конечно, не могут быть ни высокими, ни низкими. А вот что действительно меняется, так это их количество, которое и определяют посредством общего анализа крови.
Что же такое лейкоциты? Это — большая группа различных кровяных клеток, которые вырабатываются в костном мозге, не имеют окраски (за что их еще называют белыми) и, действительно, защищают наш организм, но не только от инфекций, а также от любых патогенных агентов — чужеродных белков, инородных тел, токсинов.

Интересный факт.
Лейкоциты, перед тем, как направиться “в атаку”, даже проходят обучение в лимфатических узлах. Если говорить образно, то там бывалые “бойцы” — клетки с иммунной памятью, умеющие, например, молниеносно распознавать ту или иную инфекцию, передают свои знания молодым клеткам. Когда о человеке говорят, что у него хороший иммунитет, это как раз означает, что в его организме достаточно обученных лейкоцитов.
Лейкоциты очень разнообразны и отличаются не только своим клеточным составом, но и функциями. В крови они присутствуют в определенном процентном соотношении, которое называется лейкоцитарной формулой. Если в организме происходит сбой, то меняется не только общее количество лейкоцитов, но и их процентное соотношение.
Основных видов лейкоцитов, которые можно в норме обнаружить в крови — пять: нейтрофилы, эозонофилы, базофилы, моноциты и лимфоциты.
Нейтрофилы
Больше всего в крови содержится нейтрофилов, причем, подавляющее их число (от 47 до 72 % от всех лейкоцитов) составляют зрелые формы нейтрофилов, так называемые сегментоядерные. Еще небольшое количество нейтрофилов может быть представлено их молодыми собратьями — палочкоядерными (1— 5 %). А предшественниками палочкоядерных являются еще более молодые клетки — метамиелоциты, миелоциты, промиелоциты, в костном мозге они развиваются до палочкоядерных и только после этого поступают в кровь.

Появление незрелых клеток в крови свидетельствует либо о том, что костный мозг функционирует неправильно, либо о том, что в организме идет какая-то очень серьезная борьба с патогенными агентами и зрелых нейтрофилов для защиты уже не хватает, поэтому приходится задействовать незрелые формы. Примерно как в сказке про Мальчиша Кибальчиша, когда дети занимают место погибших в бою родителей и старших братьев и продолжают сражаться.
Понятие “сдвиг лейкоцитарной формулы”
Нейтрофилы — одни из главных защитников организма. Особенно хорошо они борются с бактериями: погибая сами, нейтрофилы высвобождают белки, которые в свою очередь уничтожают патогенные микроорганизмы, поэтому повышение в крови нейтрофилов со сдвигом формулы влево, то есть с повышением числа палочкоядерных клеток, позволяет врачу, читающему анализ, заподозрить в первую очередь бактериальную инфекцию.
Кроме того, увеличение в крови незрелых нейтрофилов, вплоть до появления метамиелоцитов, миелоцитов и промиелоцитов, может быть признаком тяжелых форм острых инфекций (пневмония, сальмонеллез, менингит), сильных воспалений (ревматизм, панкреатит), обильных кровопотерь, злокачественных опухолей и метастазирования в костный мозг, лейкозов, сепсиса.В этих случаях, правда, у больного обязательно будут наблюдаться и другие симптомы — высокая температура, головные боли, чувство ломоты в теле, слабость, боль, сыпь и тд.
Возможно и такое, что при общем повышении лейкоцитов в крови, процент нейтрофилов будет снижен (на медицинском языке это называется нейтропенией). Чаще всего такие показатели являются следствием вирусной инфекции число нейтрофилов снижается за счет увеличения лимфоцитов — других представителей лейкоцитов. Кроме того, нейтропения характернатакже для паразитарных и грибковых инфекций, апластических анемий, а также может быть следствием проведения лучевой терапии.
Возможные причины повышения лейкоцитов у взрослых
Повышение количества лейкоцитов, содержащихся в плазме крови, называется лейкоцитоз. Врачи классифицируют лейкоцитоз по нескольким признакам. По характеру процесса выделяют:
- Абсолютный лейкоцитоз — состояние, при котором в крови повышается содержание лейкоцитарных клеток, эритроциты и тромбоциты остаются в пределах нормальных значений;
- Относительный – процесс, при котором снижается содержание плазмы в кровеносном русле, из-за чего повышается количество лейкоцитов в пересчете на 1 литр крови (то есть никаких изменений в кроветворении не происходит).
Относительный лейкоцитоз может быть обусловлен продолжительными физическими нагрузками, сильным обезвоживанием, многократной рвотой.
По другой классификации лейкоцитоз делится на физиологический и патологический. Физиологический процесс подразумевает, что повышение лейкоцитов обусловлено потребностями организма, оно не является патологией. Соответственно, никакого лечения оно не требует. Обычно такой процесс является очень кратковременным, он сохраняется всего несколько дней, а затем самостоятельно проходит, и количество лейкоцитов нормализуется.
Физиологический лейкоцитоз может возникать по следующим причинам:
- Сильные стрессовые реакции;
- Перед менструацией у женщин;
- После тяжелых физических нагрузок;
- Во время беременности;
- При акклиматизации в новой местности;
- При продолжительном пребывании на солнце;
- Иногда – реакция на частую смену погодных явлений.
В этих случаях лейкоцитоз обычно бывает очень небольшим.
Патологический лейкоцитоз – это увеличение количества лейкоцитарных клеток минимум в 2-3 раза. Обнаружение такого количества белых кровяных телец свидетельствует о наличии в организме пациента патологического процесса. Это состояние уже требует лечения, поэтому пациенту стоит обратиться к врачу и пройти обследование.
Патологический лейкоцитоз, как и физиологический, является защитной реакцией организма в ответ на враждебное воздействие. Определить, какой агент атакует организм, можно по характеру увеличения тех или иных типов лейкоцитов. Так, при увеличении содержания нейтрофилов стоит заподозрить наличие острой бактериальной инфекции, шока, сепсиса, интоксикации.
Нейтрофилез часто встречается и при злокачественных новообразованиях крови, в первую очередь при миелолейкозе. При этом заболевании содержание лейкоцитов достигает наибольшего значения – 50-100 х109/л (при норме в 4-9 х109/л).
Увеличение содержания эозинофилов в организме свидетельствует об активной аллергической реакции. Кроме того, эозинофилия часто наблюдается при паразитарном заражении организма. Отличить эти два случая легко можно по клинической картине заболевания. При аллергии симптомы наиболее выражены на коже (зуд, крапивница, отек, покраснение), а при глистах поражается пищеварительная система (появляется диарея, тошнота, метеоризм, боли в животе).
Повышенное содержание лимфоцитов характерно для следующих заболеваний:
- Острые инфекционные заболевания;
- Туберкулез;
- Коклюш;
- Лимфолейкоз.
Повышение количества моноцитов свидетельствует об инфекции, имеющей хроническое течение и уже долго пребывающей в организме пациента.
Анализировать полученный результат должен опытный врач-клиницист. Только он способен верно оценить уровни тех или иных групп клеток и сделать вывод о наличии патологического процесса.
Таким образом, лейкоциты – это клетки, которые обеспечивают защиту организма от воздействия патологическими агентами, такими как бактерии, вирусы, грибки, глисты и паразиты. Иммунитет является сложной системой, поддерживающей здоровье организма и обеспечивающей его нормальное функционирование.
Вопрос-Ответ
Что означают повышенные лейкоциты?
Лейкоциты позволяют иммунной системе противостоять инфекционным заболеваниям (например бронхиту, пневмонии, ОРВИ) и другим болезням. Но иногда их количество превышает норму. Для взрослых нормой считается — не более 11 000 на микролитр крови. Увеличение уровня лейкоцитов в крови обычно указывает на проблемы со здоровьем и требуют дообследования.
Почему повышаются лейкоциты?
Повышение нормы лейкоцитов может возникнуть по причине злокачественной болезни кроветворной системы, лейкозов, миелофиброза, аллергии, бактериального или вирусного инфекционного процесса, ревматоидного артрита, стресса, туберкулеза и коклюша. Также может возникнуть у беременных, особенно во время токсикоза. Для конкретики необходимо провести лабораторные исследования.
Какой лейкоцитоз характерен для глистных инвазий?
При глистных инвазиях характерен эозинофильный лейкоцитоз, который сопровождается повышением уровня эозинофилов в крови. В связи с этим различают: легкую (от 500 до 1500), умеренную (до 5000) и выраженную эозинофилию (более 5000). Чтобы определить тип лейкоцитоза и предупредить последствия заболевания, необходимо провести исследования, для чего следует сдать общий анализ крови. Даже при незначительном увеличении количества эозинофилов нужно обратиться к инфекционисту, чтобы он мог вовремя назначить правильное лечение. Помощь детям оказывает детский инфекционист.
Почему при физической нагрузке наблюдается миогенный лейкоцитоз?
При интенсивных физнагрузках в мышцах накапливается много лейкоцитов, которые и увеличивают показатели. Кроме того, при агрессивных тренировках организм ощущает стресс, что опять же повышает показатели. Так, уровень лейкоцитов становится больше в 3–5 раз. У здорового человека миогенный лейкоцитоз непродолжителен.
Нормальные значения лейкоцитов
В разных возрастных группах значения нормы колеблются. На точность измерения также могут влиять несколько бытовых факторов, например:
- Прием пищи перед пробой
- Прием ванной или горячего душа
- Прививки, ожоги или порезы
- Месячные или беременность
| Нормы лейкоцитов для мужчины | |
| Возраст | Млрд./литр крови |
| 14-22 | 3,5-8 |
| 23-40 | 4-9 |
| 41-60 | 3,5-9 |
| 60-100 | 3-7 |
Нормы содержания лейкоцитов для женщины
| Нормы лейкоцитов для женщины | |
| Возраст | Млрд./литр крови |
| 14-22 | 3,2-8 |
| 23-40 | 4,4-10 |
| 41-60 | 4-9 |
| 60-100 | 3-8 |
Отдельно стоит отметить, что у женщин норма колеблется в зависимости от гормонального фона и стадии менструального цикла. При беременности норма раздвигается до 12 миллиардов клеток на литр крови. К моменту родов нормой считается уже 15,0×109 /л. Это необходимо для защиты плода и матери в процессе родов. Данный механизм позволяет избежать заражения в условиях недостаточной стерильности. Нормы содержания лейкоцитов для ребенка
| Нормы лейкоцитов для ребенка | |
| Возраст | Млрд./литр крови |
| 1-2 | 6,0 — 17,0 |
| 2-6 | 4,9-12,3 |
| 7-9 | 4,8-12,0 |
| 9-12 | 4,5-10 |
Нормы содержания лейкоцитов для новорожденного
| Нормы лейкоцитов для новорожденного | |
| Возраст | Млрд./литр крови |
| 1-2 дня | 8,5-24,5 |
| 3-7 дней | 7,2-18,5 |
| 7-30 дней | 6,5 −13,8 |
| 1 — 6 месяцев | 5,5 — 12,5 |
| 6 −12 месяцев | 6-12 |
Лечение лейкопении
Как именно будет проводиться лечение лейкопении, зависит от установленного диагноза
Поэтому очень важно провести комплексное медицинское обследование, чтобы определить, почему проявляется лейкопения у взрослых и детей
Доктора
специализация: Гематолог
Усова Елена Викторовна
3 отзываЗаписаться
Подобрать врача и записаться на прием
Лекарства
Пентоксил
Лейкоген
Метилурацил
Пиридоксин
Фолиевая кислота
Определив, что такое лейкопения у взрослых или ребенка в конкретном случае, врач назначает комплексное лечение медикаментозными препаратами.
- Если отмечаются низкие лейкоциты в крови у женщины или мужчины, назначают препараты стимулирующие метаболические процессы: пентоксил, Лейкоген, Батилол, Метилурацил и др.
- В процессе лечения применяют препараты, стимулирующие пролиферативную активность стволовых клеток костного мозга. Назначают Нуклеоспермат натрия, Натрия нуклеинат.,
- Также назначают витаминосодержащие препараты и комплексы: Пиридоксин, витамин В12, фолиевая кислота и др.
- Может также назначаться прием антибиотиков.
- В случае генетических нарушений применяется гранулоцитарный колониестимулирующий фактор роста и другие факторы роста, которые получают из костного мозга.
- Другие медикаменты назначают в зависимости от заболевания, которое спровоцировало низкий уровень лейкоцитов в крови у женщин и мужчин.
Правильно назначенный комплекс медикаментов дает возможность поднять количество лейкоцитов в организме.
Процедуры и операции
Быстро понизить лейкоциты в крови способно лечение некоторыми препаратами, в частности химиотерапия, лучевая терапия. Поэтому в некоторых случаях требуется только приостановить прием лекарств, ставших причиной снижения количества лейкоцитов.
При низком количестве лейкоцитов рекомендуется соблюдать назначенную диету, питаться разнообразно, не допуская дефицита витаминов и минералов в рационе. Рекомендуется посоветоваться с диетологом по поводу составления правильного меню.
Важен также полноценный отдых и меры, направленные на укрепление иммунитета.
При тяжелых врожденных заболеваниях может понадобиться трансплантация стволовых клеток (костного мозга). Больной костный мозг заменяют здоровыми донорскими тканями. Эффективность трансплантации зависит от многих факторов, в частности от возраста больного (лучше всего трансплантацию переносят маленькие дети), близости соответствия между донором и больным (лучшими донорами являются родные братья и сестры).
Лечение народными средствами
Отвар из шиповника
Существует много народных средств, которые применяются при лейкопении. Однако все эти методы могут использоваться только как вспомогательные средства и после того, как их применение одобрил врач.
- Настой полыни. 30 г сухой полыни залить 600 мл кипятка, настоять на протяжении ночи. Пить трижды в день по 100 мл перед приемом пищи.
- Отвар овса. 40 г неочищенного овса заливают 2 стаканами воды и кипятят 15 минут. Настоять 12 часов, процедить. Пить по 100 мл 3 раза в день.
- Отвар шиповника. 50 г шиповника залить 1 стаканом воды. Варить 20 минут, настоять на протяжении суток. Пить 3 раза в день по 50 мл.
- Цветочная пыльца. Ее нужно смешать с медом в соотношении 2:1, настаивать 3 дня. Каждый день пить 1 ч. л. средства. Рекомендуется запивать его молоком.
- Свекла с медом. Нарезать свеклу большими кусками, наполнить ними 3-литровую банку. Добавить 30 г меда и немножко соли. Залить теплой водой, закрыть банку и настаивать 3 дня. Квас из свеклы пить по 60 мл 4 раза в день.
- Настой донника. 20 мл травы донника залить 300 мл кипятка, настоять несколько часов. Пить по 50 мл трижды в день.
Прием любого из перечисленных средств должен длиться не менее месяца.
Атипичные мононуклеары
По сути своей являются бласттрансформированными лимфоцитами, появляющимися в крови при напряжении клеточного иммунитета. В норме их количество не превышает 6% среди всех лейкоцитов (отношение количества широкоцитоплазменных лимфоцитов к узкоцитоплазменным составляет 0,15).
Число атипичных мононуклеаров в крови увеличивается при:
- вирусных заболеваниях (инфекционный мононуклеоз, корь, краснуха, ветряная оспа, грипп, вирусный гепатит, аденовирусные заболевания, цитомегаловирусная инфекция)
- аллергических реакциях
- вакцинациях
- аутоиммунных заболеваниях
- опухолях
- реакциях отторжения трансплантата
Патогенез
Патогенез лейкопении определяют три главных механизма. Суть первого – в угнетении лейкопоэтической функции костного мозга, вследствие чего нарушается выработка лейкоцитов, их созревание и выход в периферическую кровь. Второй механизм состоит в чрезмерном разрушении клеток в сосудистом русле. Третий – в перераспределении лейкоцитов в крови и задержке их в органах депо.
Нейтропения – процесс, при котором отмечается снижение выработки нейтрофилов в костном мозге. Это происходит вследствие нарушения пролиферации, дифференцировки и созревания стволовых гемопоэтических клеток. Этот процесс происходит при иммунном и миелотоксическом влиянии токсических веществ и медикаментозных препаратов. Также его обуславливает наличие внутреннего дефекта клеток-предшественников гранулоцитопоэза, когда отмечается потеря их способности к дифференцировке в клетки нейтрофильного ряда и при этом сохраняется способность к нормальной дифференцировке в базофильные, эозинофильные и моноцитарные клетки.
Костно-мозговая выработка нейтрофилов также снижается вследствие уменьшения плацдарма гранулоцитопоэза, что отмечается при вытеснении гемопоэтических клеток опухолевыми клетками у больных с лейкозами и карцинозами (при метастазах в костный мозг). Причиной этого также может стать недостаток тех веществ, которые необходимы для нормального процесса пролиферации, дифференцировки и созревания этих клеток. Это ряд витаминов, аминокислоты и др.
Нейтропения может быть связана и с активным разрушением нейтрофилов, происходящим под воздействием антител, которые образуются в случае переливания крови вследствие воздействия определенных лекарственных препаратов. Механизм развития этого состояния может быть связан и с развитием заболеваний, которые сопровождаются ростом иммунных комплексов, циркулирующих в крови (лимфома, опухоли, аутоиммунные болезни и др.). Также развитие этого состояния может быть связано с воздействием токсических факторов при тяжелых инфекционных болезнях и воспалительных процессах.

Нейтропения развивается и вследствие слишком активного разрушения нейтрофилов в селезенке. Это происходит при ряде болезней, отличительной особенностью которых является гиперспленизм. Нейтропения как результат перераспределения нейтрофилов внутри сосудистого русла отмечается при неврозах, шоке, острой малярии и др. Такое состояние имеет временный характер, его сменяет лейкоцитоз.
Агранулоцитоз – это синдром, при котором нейтрофильные гранулоциты в крови исчезают полностью или почти полностью. Механизм его развития чаще всего связан с приемом лекарств (сульфаниламидов, некоторых антибиотиков, цитостатических лекарств и др.). Часто этиологические факторы, приводящие к такому состоянию, остаются неустановленными. Происхождение агранулоцитоза может быть иммунным или миелотоксическим. Патогенез иммунных агранулоцитозов основывается на появлении антител, действие которых направлено против собственных лейкоцитов.
Норма и отклонения
Норма лейкоцитов в крови различается по двум параметрам – половая принадлежность и возрастная категория. Обнаружить общее количество таких частиц можно во время общего анализа крови, но для выявления концентрации того или иного подвида требуется расширенное изучение биологического материала.
Лейкоциты в норме должны составлять:
- нейтрофилы – 55%;
- лимфоциты – 35%;
- моноциты – 5%;
- базофилы – 1%;
- эозинофилы – 2.5%.
В целом лейкоциты в крови норма составляет:
|
Возрастная категория |
Допустимые значения (х 10^9/л) |
|
Груднички |
7-32 |
|
Дети до года |
6-18.5 |
|
1-2 года |
5-17 |
|
2-6 лет |
5-16.5 |
|
6-15 лет |
4.5-13.5 |
|
Подростки (16-21 год) |
4.5-11 |
|
Мужчины среднего возраста |
4.2-9 |
|
Женщины среднего возраста |
4-10.5 |
|
Мужчины преклонных лет |
3-8.5 |
|
Женщины преклонных лет |
3.7-9 |
На число лейкоцитов также могут повлиять:
- время суток – в утренние часы их меньше, нежели вечером, отчего анализ крови следует сдавать днем;
- прием пищи и физическая нагрузка – такие факторы повышают уровень описываемых частиц крови;
- время года – в жаркий сезон концентрация повышена, что обуславливается потерей большого количества воды с потом;
- влияние стрессовых ситуаций;
- прием лекарственных препаратов, например, стероидные вещества повышают количество, а антибактериальные средства, диуретики, барбитураты, цитостатики и сульфаниламиды – понижают.
Также причинами того, что норма лейкоцитов крови повышается (лейкоцитоз), выступают:
- широкий спектр инфекционных и вирусных недугов;
- различные аллергические реакции;
- онкологические процессы;
- поражение костного мозга;
- период вынашивания ребенка.
Главные источники понижения нормальных значений (лейкопения) представлены:
- хроническими заболеваниями;
- аутоиммунными процессами;
- патологиями печени и селезенки;
- онкопатологиями;
- длительным облучением организма;
- врожденными недугами, нарушающими образование лейкоцитов;
- гиповитаминозом.
Как при лейкоцитозе, так и при лейкопении следует тщательно обследовать организм, для поиска первопричины.






























