Забота, неравнодушие, общение
Очень важно выбрать правильную стратегию, чтобы убедить человека обратиться за помощью. При этом не надо бояться ни психиатра, ни его вопросов
Задача врача состоит в том, чтобы собрать анамнез и на его основе уже делать какие-то выводы. Депрессия в пожилом возрасте может быть связана не только с внешними факторами — скажем, социальными, но и с внутренними.
У депрессии могут быть соматические причины, которых в пожилом возрасте становится по понятным причинам больше: это может быть деменция и болезнь Альцгеймера, болезнь Паркинсона; развитию депрессии может способствовать перенесенный инсульт, избыточная функция щитовидной железы, диабет. Ряд лекарств тоже может вызывать вторичную (то есть развивающуюся на фоне других психологических проблем) депрессию: например, бета-блокаторы, которые принимают для снижения пульса и понижения давления, или кортикостероиды, в частности, глюкокортикоиды, которые применяются при ревматизме, ревматоидном артрите, бронхиальной астме и ряде других заболеваний.
Этот список далеко не исчерпывающий, и он призван лишь продемонстрировать, насколько широка вариативность причин депрессии, особенно в пожилом возрасте, когда здоровье в целом уже не столь крепко
Правильное диагностирование с учетом соматических причин важно для последующего лечения
Депрессия как болезнь известна была еще Гиппократу, однако до сих пор в ее проявлениях есть место научным загадкам. Все же, несмотря на то, что никто не застрахован от ошибок, профессиональный врач лучше справится с диагностикой, чем соседи, тетушки, интернет.
Людмила Жукова:
«Нет волшебной таблетки или способа, который позволит убедить пожилого человека обратиться к врачу. В этой ситуации имеет смысл говорить о том, какие переживания у вас возникают в связи с предполагаемым депрессивным состоянием ваших родителей или бабушек и дедушек, говорить о том, как вы обеспокоены и что это переживание делает с вами.
Но надо иметь ввиду, что если у человека депрессия, то ему действительно очень тяжело даются какие-то движения: для того чтобы оказаться у врача, надо встать, одеться, помыться, чтобы до этого врача дойти. Людям в депрессии очень тяжело что бы то ни было делать. Известно, например, что от депрессии хорошо помогают физические нагрузки, но для того, чтобы заняться спортом, нужно заставить себя встать с постели, выйти из дома, а люди с депрессией часто не могут этого сделать. То есть это «лекарство» оказывается для них недоступно.
Можно сказать точно, чего не надо делать. Не надо говорить человеку, находящемуся в депрессии, «соберись, тряпка», «давай, ты можешь», потому что он не может. Нужно донести до близкого человека, что вы видите и понимаете, насколько ему тяжело, и что, как вам кажется, вы могли бы и хотели бы для этого человека что-то сделать. Можно постараться зайти с этой стороны: рассказать о том, как вам больно видеть близкого человека в таком состоянии. Это не гарантирует стопроцентного успеха, но дает некоторый шанс на то, что удастся с этим справиться.
Нужна поддержка, забота, проявление неравнодушия, общение. При этом понятно, что у всех своя жизнь, и часто бывает так, что нет возможности уделить много времени пожилому родственнику, но следует позаботиться о том, чтобы вокруг него были люди, какой-то круг, который бы оказал пожилому человеку поддержку.
Вот один из способов, с помощью которого я пытаюсь убедить своих клиентов в необходимости обратиться к психиатру по поводу того или иного состояния, скажем, депрессивного. Я говорю, что пытаться самостоятельно справиться с депрессией, — это как пытаться самостоятельно справиться с кариесом. Когда у нас болят зубы, мы не пытаемся вылечить их усилием воли, а идем к специалисту. То же самое мы должны сделать и находясь в депрессивном состоянии».
Чем депрессия отличается от плохого настроения
«У клинического состояния есть важные симптомы: плохое настроение длится долго, две недели и больше, пропадают аппетит и сон, человек чувствует себя никчемным и бесполезным, избегает контактов и часто, обратите внимание, стесняется своего состояния, пытаясь притвориться веселым и жизнерадостным», — отмечает Андрей Шмилович. Не стоит обманывать себя и окружающих и пускать это состояние на самотек
Как и с любым другим заболеванием, здесь время играет против вас. Поэтому лучше незамедлительно обратиться за консультацией к квалифицированному специалисту
Не стоит обманывать себя и окружающих и пускать это состояние на самотек. Как и с любым другим заболеванием, здесь время играет против вас. Поэтому лучше незамедлительно обратиться за консультацией к квалифицированному специалисту.

Александр Орлов, 40 лет, тележурналист, режиссер, продюсер: «У меня не было какого-то кардинального толчка или катастрофической ситуации, которая бы резко ухудшила самочувствие. На четвертом десятке все шло своим чередом — полноценная работа, командировки, любимая профессия. Но как-то в командировке в одном из городов у меня резко подскочило давление. Анализы по всем параметрам хорошие, а мне все хуже и хуже. Похудел на 8 кг, настроения нет, давление скачет, апатия, работа ждет, работать не хочу, коллеги смеются, говорят: «Ну зажрался, наверное», а мне уже не до смеха. Как у каждого человека, у меня тоже есть комплексы, страхи. Это все наслоилось на переутомление, эмоциональные перепады. Как мне сказали специалисты, это длилось годами. Латентная депрессия, которая была диагностирована у меня, опасна тем, что подкрадывается незаметно».
Профилактика и рекомендации
К основным мерам профилактики депрессии у пожилых относятся: сохранение физической и социальной активности, поиск новых увлечений, избегание одиночества, а также ведение здорового образа жизни.
Пожилым людям, страдающим депрессией, можно дать следующие полезные рекомендации:
Не находиться взаперти и в одиночестве весь день. Если у человека депрессия, он не хочет ничего делать и никого видеть. Однако изоляция лишь усугубит расстройство
Важно общаться с другими людьми и ограничивать время, проведенное в одиночестве. Можно сходить в парк, встретиться с другом, посетить музей или спектакль, пригласить внуков в гости.
Завести домашнего питомца
Домашнее животное может составить больному компанию, а прогулка с собакой стать отличным поводом для физической активности и знакомства с новыми людьми.
С юмором относиться к происходящему вокруг, находить причины для улыбки. Смех поднимает настроение, поэтому обмен с близкими юмористическими историями, шутками или просмотр комедии полезны в борьбе с депрессией.
Путешествовать. Можно насладиться временем, проведенном в походе, на рыбалке или пляже. Необязательно тратить на путешествия и отдых большие деньги.
Поддерживать физическую активность. Упражнения — мощное средство от депрессии. Некоторые исследования показывают, что они столь же эффективны, как и антидепрессанты. Причем, не нужно использовать изнурительные тренировки. Достаточно просто совершить короткую прогулку, подняться по лестнице, выполнить легкую работу по дому или в саду.
Родственники должны мотивировать близкого человека на продолжение лечения и соблюдение этих рекомендаций, а также следить за предупреждающими знаками о возникновении суицидальных мыслей.
Список литературы:
Медикаментозные препараты
Избавиться от глубокой клинической депрессии помогут антидепрессанты, транквилизаторы и вспомогательные симптоматические препараты.
Группы препаратов
Влияние на депрессию
Примеры средств
Трициклики
Регулируют количество биогенных нейромедиаторов: норадреналина, дофамина и серотонина
Устраняют нарушение работы головного мозга, провоцирующего возникновение болезни.
Азафен, Доксепин
ИМАО
Мелипрамин, Бефол
СИОЗС
Флуоксетин
Мелатонинергики
Мелитор
Другие антидепрессанты
Тразадон, Миансерин
Транквилизаторы
Снимают сильное эмоциональное напряжение, избавляют от бессонницы, страха, тревожности и панических атак.
Диазепам, Феназепам, Гидроксизин
Нормотимики
Избавляют от резких перепадов настроения, предотвращают развитие суицидальных наклонностей
Вальпромид, Карбамазелид
Нейролептические препараты
Снимают напряжённость и чувство страха, улучшают концентрацию, повышают работоспособность и выносливость.
Кветиапин, Оланзолин, Клозапин
Ноотропы
Укрепляют кортикосубкортикальные связи мозга, повышают мозговую активность, улучшают внимание и память.
Пикамилон, Ноотропил, Глицин
Снотворные средства
Устраняют бессонницу любой формы, повышают крепость и качество сна, ускоряют засыпание.
Донормил, Анданте, Мелаксен
Седативные препараты
Снимают напряжение, расслабляют, избавляют от стресса и повышенной тревожности. Улучшают сон.
Персен, Ново-пассит, Корвалол, Валериана, Пассифлора
Витамины группы В
Стимулируют синтез нейромедиаторов, улучшают работу ЦНС, повышают умственные способности и работоспособность.
Мильгамма, Нейробион, Нейрорубин, Витагамма
Где лечат депрессию?
Обратиться можно как в муниципальную больницу, так и в частный медицинский центр. В государственных учреждениях работают опытные психиатры, однако из-за потока людей врачу сложно уделить время каждому пациенту. Если форма болезни легкая, можно посетить районного психиатра для назначения курса антидепрессантов. Если же депрессия прогрессирующая, наблюдаются сильные симптомы заболевания – лучше обратиться в частное учреждение. У специалиста будет больше времени для обнаружения причин развития психического расстройства, а также для подбора более эффективной схемы лечения.
Ремиссия депрессии
Ремиссия достигается уже спустя пару недель после начала лечения. Однако это не значит, что можно прекращать прием лекарств – курс должен быть пропит полностью, с соблюдением схемы отказа. Все подробности распишет доктор на приеме.
Длительность депрессии
Точных сроков нет – длительность заболевания варьируется от пары месяцев до нескольких лет. Чем дольше стаж, тем труднее депрессия поддается лечению. Однако отчаиваться не следует – опытный врач непременно поможет, прописав эффективные лекарства, а также посещение психолога.
Как самостоятельно избавиться от депрессии?
Самостоятельно справиться можно только с начальной формой депрессии:
Распланировать промежутки отдыха и работы в течение дня. Каждый час необходимо делать зарядку, дышать воздухом, делать гимнастику, пить чай и т.д. (по возможности). Если речь идет о суточных дежурствах – весь следующий день должен быть посвящен сну и отдыху.
Принимать витаминные комплексы.
Научиться расслабляться и не реагировать слишком остро на проблемы.
Не смотреть новости, триллеры и ужасы.
Общаться только с позитивными и добрыми людьми, токсичных – убирать из своего окружения
Если неприятный вам человек – начальник, ставьте мысленный барьер между вами.
Зайдя домой, важно выкинуть из головы все рабочие проблемы. Для этого введите собственные ритуалы – смена одежды, умывание, чашка чая.
Все семейные и личные проблемы необходимо решать спокойными разговорами, без скандалов.
Такие меры помогут и для профилактики депрессивных расстройств.
Как можно минимизировать перепады настроения?
Если внести некоторые изменения в образ жизни, то можно свести к минимуму перепады настроения. Если существуют проблемы со сном, могут помочь следующие основные правила, которые специалисты называют «гигиеной сна»:
- Не пейте алкоголь или кофеин в течение четырех часов перед сном. Алкоголь может способствовать тому, чтобы вы быстрее уснули, но он также и будит вас, когда его уровень в крови падает .
- Старайтесь не дремать днем, потому что это затрудняет засыпание вечером.
- Употребление в пищу тяжелой, острой или сладкой пищи может также влияет на сон, поэтому старайтесь не есть на ночь. И хотя нет никаких научных доказательств, подтверждающих это утверждение, но некоторые женщины свидетельствуют, что сокращение количества острой пищи, алкоголя и кофеина уменьшает количество приливов, которые они испытывают, включая ночную потливость. Чтобы понять, поможет это вам или нет, попробуйте поэкспериментировать, удалив эти продукты и напитки из своего рациона.
- Сделайте вашу спальню более удобной для сна, установив комфортный уровень тепла, максимально блокируя шум и свет, и не включайте телефон прямо перед сном.
- Многие женщины говорят, что йога и медитация помогают улучшить их настроение. Некоторые секции предлагают занятия йогой специально для женщин, переживающих менопаузу. Регулярные упражнения также помогают вам в целом чувствовать себя лучше.
Почему расстройства психики более распространены среди пожилых людей
У современной медицины есть возможности оптимизировать работу нервной системы даже очень пожилого человека. Встречаются люди и старше 80 лет без каких-либо признаков деменции или «старческого склероза». Старость – не болезнь. Деменция (старческое слабоумие или старческий маразм) и возрастная депрессия – это заболевания со своими четко определяемыми причинами и возможностями лечения.
Нервная система пожилого человека имеет ряд особенностей.
- Недостаточное кровоснабжение мозга. С возрастом сосуды, в том числе и сосуды мозга, становятся менее эластичными, внутри сосудов появляются «пробки» – атеросклеротические бляшки. Мозг оказывается в состоянии дефицита кровотока и питания. А клетки мозга весьма «прожорливы» и в условиях дефицита питания работают хуже, а затем гибнут. В этот период часто появляются своеобразный старческий эгоизм и бессонница.
- Замедленное обновление клеток мозга. Чем старше мы становимся – тем медленнее идет процесс обновления, тем более в условиях сниженного кровотока.
- Изменение биохимических процессов в головном мозге. Электрический импульс передается с одной нервной клетки на другую с участием особых химических веществ – нейромедиаторов. К ним относятся, например, серотонин, дофамин, норадреналин. У пожилых людей способность к выработке и накоплению этих веществ снижается. Поэтому страдает проведение нервных импульсов, и, как следствие, ослабевает общая продуктивность работы мозга, возникают отклонения в поведении, эмоциональной, психической и двигательной сферах.
Наша задача на стадии обследования – однозначноопределить доминирующую причину страдания мозга,тогда наше лечение попадет точно по назначению.
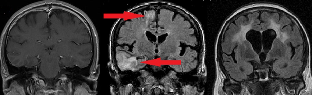
Два случая сосудистой деменции (старческого маразма) из нашей практики. Симптомы похожи, а лечение требуется различное.
МР-томография головного мозга. Мозг выглядит серым, цереброспинальная жидкость – черной, пострадавшие участки мозга – белыми.
- СЛЕВА – нормальный мозг.
- В ЦЕНТРЕ – мозг частично замещен на жидкость, стрелками обозначены очаги сниженного кровообращения. Причина – образование тромбов из-за нарушений ритма сердца + попадание этих тромбов в мозг.
- СПРАВА – масса мозга всерьез уменьшена с замещением на жидкость, белые пятна – область массовой гибели клеток мозга. Причина – сужение сонных артерий на 75% и 80% холестериновыми бляшками.
Варианты лечения депрессии
Для лечения врачи используют психотерапию, медикаменты или комбинацию этих методов.
Психотерапия
В случаях депрессии легкой и средней степени тяжести для облегчения симптомов может использоваться только психотерапия. Традиционные формы – когнитивная, поведенческая, межличностная терапия. Когнитивные методы бросают вызов негативным образцам мышления, которые сопровождают депрессивное настроение, учат новым способам мыслить объективно. Поведенческая терапия сосредоточена на изменении моделей поведения.
Межличностная терапия помогает понять, как отношения влияют на настроение. Психотерапия используется, чтобы помочь человеку развить соответствующие навыки совладания с повседневными трудностями, оспаривать ошибочные негативные представления о себе. Психотерапия повышает приверженность здоровому образу жизни, дает возможность пациенту понять особенности состояния.
Депрессивные больные часто чувствуют, что они мало или совсем не контролируют собственную жизнь. Они ощущают, за их жизнь отвечает что-то другое – предначертанная свыше судьба или другие люди. Цель терапии – изменить негативные стереотипы мышления, дать людям новые способы восприятия себя и окружения, научить взаимодействовать с сообществом.
Медикаменты
Существуют различные классы антидепрессантов, используемые для лечения аффективных расстройств. Врач оценит физическое и психическое здоровье, затем подберет наиболее эффективный антидепрессант с наименьшими побочными эффектами. Для полного действия препарата может потребоваться несколько недель. Лекарства следует принимать в течение как минимум шести месяцев без перерыва. Иногда антидепрессанты показывают неприятное побочное действие.
Поэтому необходимо тесно сотрудничать с врачом, чтобы найти препарат, который принесет наибольшую пользу с наименьшими нежелательными эффектами. В группу наиболее часто назначаемых сегодня антидепрессантов входят препараты, регулирующие уровень серотонина. Это группа, известная как селективные ингибиторы обратного захвата серотонина (СИОЗС). Также используют ингибиторы обратного захвата серотонина и норэпинефрина (СИОЗСН).
Важно! Для детей и подростков СИОЗС наиболее изученные, поэтому они часто являются препаратами выбора. За каждым, кто принимает антидепрессанты, следует внимательно наблюдать, особенно в первые несколько недель
Дети, подростки, молодые люди имеют высокие риски суицидальных мыслей или поведения во время приема антидепрессантов. Трициклические антидепрессанты (ТЦА), которые используются для лечения депрессии с 1950-х годов, являются еще одним вариантом.
Они имеют больше побочных эффектов, чем СИОЗС. Как и все антидепрессанты, необходимо принимать их некоторое время, прежде чем они подействуют. Поскольку подростки плохо справляются с побочными эффектами и склонны прекращать прием лекарств, ТЦА им не рекомендуются в качестве первого лечения. Кроме того, у детей и подростков, принимающих некоторые средства из этой группы, наблюдались проблемы с сердечным ритмом.
Умирают ли от депрессии?

Более 350 млн человек в мире, то есть каждый пятый достигший зрелого возраста, перенесли хотя бы один клинический эпизод этой болезни.
Статистика печальна: 700 000 человек в год добровольно уходят из жизни, не справившись с болезнью.
Зачастую это происходит из-за того, что вовремя не был поставлен правильный диагноз. А значит, и не было лечения.
Александр Орлов: «Надо отдать должное врачам, они меня вытянули. Моего товарища, коллегу депрессия довела до конца. Мои родные, я очень им благодарен, когда поняли, что со мной что-то не так, не стали на меня давить: “Что ты ленишься? Работа надоела? С жиру бесишься?» Отнеслись ко мне с пониманием, и рады были, что я нашел специалистов, которые вытащили меня из этого состояния. Потому что, к примеру, моего коллегу родные чморили: «У нас бабка блокаду пережила, не плакала, а ты тут хандришь, ты мужик или кто?!» А ему от этого было еще хуже».
Причины расстройства
Пожилые люди часто сталкиваются со значительными изменениями в своей жизни и состоянии здоровья, которые могут увеличивать риск развития депрессивных расстройств. К возможным причинам депрессии у пожилых относятся:
- Одиночество и изоляция. Такие факторы, как проживание в одиночестве, сужение круга общения, переезд, снижение мобильности из-за болезни могут спровоцировать депрессию.
- Снижение целеустремленности. Выход на пенсию может привести к потере идентичности, статуса, уверенности в себе и увеличить риск депрессии.
- Недавние утраты. Смерть супруга, друзей, членов семьи и домашних животных являются распространенными причинами депрессии у пожилых людей.
- Проблемы со здоровьем. Соматические заболевания, инвалидность, хроническая боль, проведение сложных медицинских операций (например, ампутаций) также могут способствовать возникновению депрессии. Наиболее частыми заболеваниями, которые ее вызывают, считаются: болезнь Паркинсона, инсульт, инфаркт, гипертония, аритмия, онкология, сахарный диабет, деменция и болезнь Альцгеймера, заболевания щитовидной железы, системная красная волчанка, рассеянный склероз и другие.
- Использование некоторых лекарств или их комбинаций. Симптомы депрессии также могут возникать как побочный эффект многих часто назначаемых лекарств. К ним относятся: препараты от повышенного артериального давления, транквилизаторы, стероиды и т.д.
В основе патогенеза депрессии у пожилых людей лежат функциональные изменения в головном мозге, а также нарушение активности нейромедиаторов.
Во время исследований головного мозга людей, у которых в пожилом возрасте впервые развилась депрессия, часто выявляются признаки энцефалопатии, участки с нарушением кровообращения, а также расширение периваскулярных пространств. Ученые считают, что эти явления могут быть результатом многолетнего повышения артериального давления (гипертонии).
Также обнаружено повышение уровня глутамата в префронтальной коре головного мозга больных депрессией, что указывает на роль глутаматергической системы в расстройствах настроения у пожилых.
Причины и виды депрессии
В зависимости от проявлений расстройства и факторов, спровоцировавших заболевание, различают несколько видов депрессии.
По происхождению депрессивные расстройства делят на два основных вида:
- экзогенные (спровоцированные внешними факторами);
- эндогенные (вызванные внутренними проблемами человека).
По степени тяжести принято различать легкую, умеренную и тяжелую формы заболевания.
По характеру симптомов и особенностям течения выделяют такие виды депрессии, как:
Депрессивный эпизод. Первичный случай, которому не предшествовали никакие эпизоды недуга. Проявляется бессонницей, подавленным настроением, замкнутостью, снижением активности.
Рекуррентная (повторяющаяся) депрессия. Признаки расстройства проявляются примерно раз в месяц и сохраняются несколько дней. Может проявляться и другими симптомами, помимо эмоциональных: снижением памяти и внимания, ухудшением концентрации.
Послеродовая депрессия. Состояние, могущее развиться у женщин в первые дни и недели после родов из-за изменений в гормональной сфере. Проявляется нервозностью, перепадами настроения, бессонницей, повышенной утомляемостью и — нередко — безразличием к новорожденному.
Депрессия при биполярном расстройстве. Для этого расстройства характерны чередования у больного эпизодов повышенного и пониженного настроения. При этом в остальное время человек живет совершенно нормальной жизнью.
Хроническое депрессивное расстройство. Характеризуется постоянной продолжительной (более двух недель) физической и эмоциональной опустошенностью, снижением аппетита, нарушениями сна.

1
БОС терапия при лечении депрессии

2
БОС терапия при лечении депрессии

3
БОС терапия при лечении депрессии
Причины депрессии
Причины депрессивных расстройств в современной медицине принято делить на три группы:
- психологические;
- социокультурные;
- биологические.
Психологические факторы. Подавляющее число больных отмечает, что «накануне» депрессии в их жизни имелось большое количество стрессов (конфликты в семье и на работе, перенесенные инфекции, переутомление и др.).
Безусловным толчком к уходу в депрессию может послужить психотравма, вызванная смертью дорогого человека, потерей работы, разводом, насилием.
Социально-культурные факторы. Уязвимыми в эмоциональном плане делают многих людей и различные ярлыки, которые вешает на них общество. Заниженная/ завышенная самооценка, объективная или кажущаяся обделенность признанием, несоответствие чьим-то ожиданиям, недостигнутые к намеченному сроку цели — частые причины депрессии у современных людей.
Биологические факторы. Подчас депрессия является следствием внутренних патологических причин — генетической предрасположенности, нейрохимических процессов, эндокринных нарушений, гормональной перестройки (чаще встречается такая депрессия у женщин) и др. А сердечно-сосудистые болезни могут быть как следствием, так и причиной депрессивного расстройства.
Какими бы ни были причины психоэмоционального расстройства, самостоятельно выйти из депрессии практически невозможно, а принимать рекомендованные «экспертами» из интернета препараты — крайне опасно! Разобраться в причинах недуга и выработать тактику лечения может только специалист.
Что вызывает перепады настроения во время менопаузы?
Что вызывает перепады настроения у женщин, часто не определить. Это может быть особенностью характера, влияние обстоятельств и даже плохая погода. Однако женщины, у которых периодическая раздражительность связана с предменструальным синдромом (ПМС), могут быть уверены в связи между уровнем гормонов и эмоциями.
Доказано, что изменение уровня гормонов во время менструального цикла зависит от взаимодействия гипоталамуса и гипофиза — отделов мозга, взаимодействующих с репродуктивной системой женщины.
Связь между мозгом женщины и репродуктивными органами во время климакса может происходить по-разному. Хотя нет точного понимания того, как гормоны влияют на настроение, но существует несколько теорий, в том числе те, которые исследуют, как механизмы, улучшающие настроение в мозге, связаны с уровнями гормонов.
Например, у женщин, использующих пластыри с женскими гормонами — эстрогенами, вырабатывается больше серотониновых рецепторов, улучшающих настроение. Гормоны также могут влиять на уровень эндорфинов — химических веществ, связанных с «высоким уровнем радости». Ученые выдвигают гипотезу о том, что снижение уровня гормонов у женщины также может изменить ее общее самочувствие.
Две другие общие проблемы во время менопаузы — бессонница и ночная потливость — также связаны с переменой настроения. Ночная потливость может затруднить хороший сон. Поэтому неудивительно, что ухудшение сна может вызвать у человека капризность и раздражительность.
Исследование, проведенное специалистами психосоматической медицины, показало, что женщины в возрасте от 45 до 54 лет, которые сообщали о тяжелых симптомах депрессии, также говорили о большем количестве приливов, ночных потов, проблем со сном, перепадов настроения и проблем с памятью. У женщин, у которых не было депрессии таких симптомов не наблюдалось.
Классификация депрессий в психиатрии
Существует несколько типов депрессий, выделенные психиатрами. Методы борьбы отличаются незначительно.
Субдепрессивное состояние
Субдепрессивное состояние является неким аналогом депрессии и называется – дистимия. Пациент длительное время ощущает подавленность и все признаки депрессивного расстройства, но не настолько сильные. Такое явление длится годами, при этом человеку сложно находить общий язык с коллегами и родными. Сами симптомы заболевания, как правило, не доставляют особых неудобств.
Дистимия часто развивается у подростков. Взрослые люди часто начинают искать у себя несуществующие заболевания, ругаться с соседями, устраивать истерики членам семьи. Для начала необходимо сдать все анализы, и пройти обследование. Если проблем с гормонами и работой внутренних органов нет, необходимо посетить психиатра. Помните, что визит к данному специалисту не грозит никакими отметками и осуждением. Первичная депрессия устраняется при помощи медикаментов и бесед со специалистом.
Классическая
Подавленность, апатия, суицидальные мысли – это признаки классической депрессии. По мере развития болезни, начинают проявляться и физические симптомы, например, повышение давления, панические атаки и т.д. Требует вмешательства психиатра для назначения антидепрессантов.
Клиническая
Депрессия в клиническом варианте ярко выражена, присутствуют практически все неприятные симптомы
Важно не пытаться решить проблему самостоятельно. Головные боли при депрессивном расстройстве не снимутся обычным лечением, необходимо сначала купировать психическое расстройство
Тяжелая
При тяжелой форме человек практически полностью забывает о работе, гигиене, чистоте квартиры, хобби и т.д. Пациент может спать сутками, аппетит при этом чаще отсутствует.

Выраженная
Ярко выраженные симптомы депрессивного расстройства – апатичность, грубость, безразличие и упадок сил. Болезнь делает работу в некоторых сферах практически невозможной.
Хроническая
Годами подавляемая, не вылеченная затяжная депрессия приносит массу неприятностей, чаще всего нарушается работа внутренних органов и выработка гормонов. Человек может даже не подозревать о наличии психического расстройства, сваливая все на усталость.
Беспричинная
Такое расстройство возникает буквально на «ровном месте» — у пациента благополучная семья, хорошая работа, достойный круг общения и материальный достаток. Детских травм и других триггеров для депрессий также не наблюдается.
Сезонная
Многие жалуются на подавленное состояние весной и осенью. Именно в это время года организм истощается. Для начала необходимо попробовать пропить комплекс витаминов (особенно важен Д, цинк, железо). Если никакого результата нет, есть смысл проконсультироваться со специалистом.
Перманентная
Человек находится в депрессивном состоянии постоянно, без периодов ремиссии. Зачастую это люди, не обращающиеся к врачу и не принимающие специальных препаратов.
Наследственная
Депрессия не является наследственным заболеванием. Однако если родители страдали подобным сбоем, то ребенок невольно считывает особенности поведения. Еще одно предположение – сбой в гормональной системе во время беременности может привести к нарушению выработки у плода гормонов радости, что увеличивает риск развития психических расстройств.
Вялотекущая
Многолетняя депрессия доставляет человеку массу неудобств, между периодами расстройства есть ремиссии. Окружающие могут даже не догадываться о наличии психических проблем, депрессия в такой форме часто глушится алкоголем и наркотиками.
Тревожно-депрессивное расстройство
Симптомы таковы:
- Пессимизм.
- Человек боится выйти на улицу: за ним следят, его могут убить или покалечить, изнасиловать и т.д.
- Ухудшение памяти и когнитивных функций.
- Плаксивость.
- Бессонница.
- Убежденность в тяжелых заболеваниях даже без видимых симптомов.
- Скачки давления.
- Головокружения.
- Чувство сдавливания в груди.

Униполярная
Униполярная форма депрессии не имеет маниакальных фаз, в отличие от биполярного расстройства. Обострения длятся несколько месяцев, а периоды ремиссии – годами. При выполнении рекомендаций врача, расстройство быстро купируется.
Депрессию у пожилых трудно распознать
Как уже упоминалось, пожилые люди, страдающие депрессией, часто испытывают симптомы, типичные для других болезней. Пациенты часто жалуются на различные физические недуги, особенно на боли неизвестного происхождения, утомляемость, упадок сил, становятся раздражительными, нетерпеливыми. Депрессия может маскироваться измененным поведением, конфликтами в семье (с близкими), вспышками импульсивности и гнева, а также злоупотреблением алкоголем.
Скрытая депрессия – это состояние, при котором вместо обычных симптомов депрессии проявляются соматические жалобы, усталость, гнев или неуместное и неконтролируемое поведение. Поначалу не только пациент, но и врач могут не осознавать, что это расстройство настроения.
Депрессия маскируется симптомами соматического заболевания. Например, когда пациенты пожилого возраста жалуются на боль, трудно отличить хроническую боль от боли, вызванной депрессией, поскольку хроническая боль обычно также сопровождается плохим аппетитом, нарушением сна. Пациенты с мучительной хронической болью не концентрируются при разговоре, ни в чем не заинтересованы, и общее функционирование у них нарушено
Говоря, они акцентируют внимание на соматических симптомах и категорически отрицают депрессию
Плохой аппетит при депрессии
Псевдоневротический синдром – еще одна форма скрытой депрессии. Этот синдром состоит из множества похожих жалоб, таких как упадок сил, утомляемость, безразличие, медлительность, инертность. Пациенты жалуются на скуку. Им кажется, что никому до них нет дела, они чувствуют себя усталыми, истощенными, но не сообщают о плохом настроении, грусти или других симптомах классической депрессии.
Возможно, депрессия еще больше маскируется убеждением пациента и врача в том, что по мере старения обязательно возникают усталость и апатия. В этом случае перед врачом стоит сложная задача отличить усталость, вызванную органическим заболеванием, от усталости, вызванной депрессией или органической депрессией.
Пациенты часто не жалуются на чувство разочарования или отчаяния, но готовы говорить о соматических симптомах депрессии, например, запоре, потере аппетита, падении веса, нарушении сна. Именно из-за последних недугов они чувствуют себя подавленными и неуверенными в себе.
Внимательно опросив пациента, можно выявить характерные для депрессии суточные колебания симптомов, например, утром боль сильнее, чем вечером. Пациенты часто сообщают в анамнезе хотя бы об одном депрессивном эпизоде, членах семьи с заболеванием и событии, которое привело к развитию депрессии, чаще всего о потере близкого человека.






























