Многоузловой зоб щитовидной железы: симптомы
Если болезнь достигла уже серьезной стадии, то самым очевидным симптомом являются узлы, которые видны визуально и легко обнаруживаются при ощупывании, а также сдавленность в области шеи. В случаях, когда нарушается продукция гормонов щитовидной железы симптомами узлового зоба могут служить:
- снижение веса даже при большом потреблении пищи или резкое увеличение веса без очевидных на то причин;
- тахикардия и нарушения работы сердечно-сосудистой системы;
- нервозное состояние и неуравновешенность;
- сонливость и быстрая утомляемость;
- приступы жара или, наоборот, резкое ощущение озноба в конечностях;
- сухая кожа;
- нарушения стула (частые запоры);
- одышка, затруднение дыхания и глотания;
- осиплость голоса и т.д.
Даже если в данный момент нет ни одного симптома узлового зоба, это не значит, что проблемы нет. Как уже отмечалось выше, часто заболевание проходит совершенно бессимптомно.
Виды заболевания
В зависимости от причин появления образования, выделяют такие его виды, как диффузно-узловой зоб, эндемический зоб, коллоидные узлы, а также злокачественные образования в щитовидной железе, фолликулярную аденому, истинную кисту и т.д.
Образования в тканях щитовидки могут быть разными по ультразвуковым характеристикам:
Гипоэхогенное узловое образование в щитовидной железе
Может указывать на развитие злокачественного процесса (то есть наличие раковой опухоли) у пациента, а также характеризуется полным разрушением здоровой (нормальной) ткани щитовидки. Одним из признаков этого образования является отсутствие четких границ у узла, наличие кальцинатов в структуре узла.
Гистологически такое образование может быть одним из следующих типов: папиллярный, медуллярный или фолликулярный рак, что определяется при проведении тонкоигольной биопсии.
Изоэхогенное узловое образование в щитовидной железе
Отличается однородной плотностью и указывает на то, что структура тканей самой железы практически не нарушена. Если однородность образования нарушена, то это отражается и на состоянии тканей. Все эти признаки выявляются только при качественной диагностике. Считается доброкачественным образованием, может перерождаться в злокачественное.
Гиперэхогенное образование
Появляется чаще всего на фоне папиллярной карциномы. Образование отличается появлением единичных или множественных узлов на фоне зоба, в нормальной щитовидной железе. Как правило, имеет неправильную форму и неровные края.
Анэхогенное образование
Характеризуется простой и однородной структурой и часто проявляется в виде простых кист в щитовидной железе.
Какие бывают узлы в щитовидной железе?
Диффузный узловой зоб щитовидной железы: характеризуется увеличением всей щитовидки, что заметно не только при проведении ультразвуковой диагностики, но и при осмотре и пальпации. Часто к этому приводят аутоиммунные заболевания, аутоиммунный тиреоидит и токсический диффузно- узловой зоб, но иногда – дефицит поступления йода (эндемический зоб). Ультразвуковая диагностика позволяет точно определить как размеры самой щитовидной железы, так и размеры и характеристики узловых образований.
Если увеличение щитовидной железы не связано с нарушениями ее функции, а также не происходит из-за различных воспалительных процессов, то речь идет о диффузном нетоксическом (эутиреоидном) узловом зобе.
Если диффузную стадию можно назвать начальной, то вследствие прогрессивного развития заболевания возникает более сложная форма (осложнение) – коллоидный зоб. Эта форма наиболее характерна для людей в возрасте после 40 лет.
Образование нескольких узлов, относятся к категории многоузлового зоба (может быть с токсическими или нетоксическими узлами) щитовидной железы.
Увеличение размеров щитовидной железы может быть при таких заболеваниях как тиреоидит (воспаление) щитовидной железы. Какой именно вид патологии имеется у пациента, может показать только качественная диагностика.
Степени увеличения щитовидной железы
Степени увеличения железы зависят от того, видна или не видна железа (при глотании или без), а также пальпируется она или нет, есть ли изменения контура и формы шеи. Крайняя степень заболевания характеризуется большими объемами железы и сдавливанием соседних органов.
Диагностика
Первое, с чего начинается диагностика зоба — это визуальный осмотр и пальпация. Новообразования размером 1 см и более обычно хорошо прощупываются.
Далее врач международной клиники Медика24 должен провести сбор анамнеза, в том числе семейного, поскольку многие заболевания щитовидной железы имеют наследственный характер.
В первую очередь, это относится к раку, который тоже бывает разным. Самая опасная, агрессивная форма — медуллярный, при котором опухоль быстро растет и дает метастазы. Менее опасные формы — фолликулярный и папиллярный рак щитовидной железы.

Чтобы определить характер зоба как «горячий» или «холодный», делается анализ крови на гормоны Т3, Т4, а чтобы выяснить взаимоотношения щитовидной железы и гипофиза — анализ крови на гормон ТТГ.
При подозрении на аутоиммунный характер заболевания делается анализ крови на антитела к ферменту щитовидной железы (тиреоидной пероксидазе), тиреоглобулину (белку), рецепторам ТТГ.
Обязательно выполняется биохимический анализ крови с оценкой уровня общего белка, альбумина, гамма-глобулинов, холестерина, уровня сахара.
Анализ на кальцитонин выполняется при подозрении на медуллярный рак. На злокачественный характер заболевания может указывать изменение уровня тиреоглобулина.
Для выявления новообразований, определения их размеров, расположения, формы, плотности, кровоснабжения, наличия капсулы используются ультразвуковое обследование (УЗИ) и компьютерная томография (КТ). Эти методы дают подробную диагностическую информацию.
Для определения хараетра новообразования выполняется тонкоигольная аспирационная биопсия. Забирается часть ткани, которая исследуется под микроскопом.
Морфологическое исследование показывает доброкачественный или злокачественный характер новообразования, а во втором случае — конкретный вид рака.
Вид новообразования классифицируется по категориям Бетезда от первой до шестой. Доброкачественная опухоль соответствует 2 категории, атипичные клетки (с возможным злокачественным характером) — 3 — 4 категориям, подозрение на рак — 5 категории, рак — 6 категории.
Сцинтиграфия помогает диагностировать автономность щитовидной железы от гипофиза, ее неуправляемость.
Способы диагностики узлового зоба
Как мы отметили ранее, первостепенным методом диагностики является УЗИ щитовидной железы. Оно позволяет визуализировать узлы, установить их количество, размеры, месторасположение, форму, и кровоснабжение, а также состояние шейных лимфоузлов и близлежащих органов.
В каких случаях обязательно нужно провести УЗИ:
- подозрение на наличие узлового зоба;
- высокий риск онкологии ЩЖ (облучение головы и шеи в анамнезе, рак щитовидки у ближайших родственников);
- наличие у пациента шейной лимфоаденопатии, которая может сигнализировать о злокачественной опухоли.
Вторым обязательным методом диагностики является гормональное исследование крови пациента. Оно позволяет оценить щитовидную функцию и установить необходимость дополнительной коррекции гормонального фона.
Кроме того, всем пациентам с подобными узловыми образованиями нужно исследовать уровень кальцитонина. Это гормон щитовидной железы, вырабатываемый С-клетками. Если его уровень повышен и имеет значение более 100 пк/мл, с большей долей вероятности можно предположить наличие медуллярного рака щитовидки. Однако, нормальные значения данного показателя не исключают другие формы злокачественных образований.
Сцинтиграфия показана в случае выявления повышенной функции щитовидки — тиреотоксикоза (явного или субклинического). Если узел «горячий» (накапливающий радиофармперпарат активнее окружающих тканей), то необходимости в цитологическом исследовании нет, так как подобные узлы практически никогда не оказываются раком.
Во всех остальных случаях, если узел в диаметре превышает 1 см, обязательна тонкоигольная аспирационная биопсия (далее — ТАБ). Она проводится с целью исключения злокачественных образований и позволяет оценить клеточный состав узла по классификации Bethesda (город в США)
Это самое важное исследование, которое определяет дальнейшую тактику ведения пациента, а именно — необходимость и объем хирургического вмешательства. В редких случаях, если пациент относится к группе риска наличия агрессивных форм онкологии, то ТАБ может быть назначена и при образованиях с диаметром менее 1 см.
В результате анализа возможны следующие варианты цитологического заключения:
- Неудовлетворительный/недиагностический результат. Требует повторной ТАБ.
- Доброкачественные узлы (это могут быть коллоидный зоб, аутоиммунный тиреоидит, подострый тиреоидит, иные неопухолевые изменения тиреоидной ткани). При таком заключении показано динамическое наблюдение.
- Атипия или фолликулярное образование неопределенного значения. Самое редкое заключение. Риск онкологии при таких узлах 5-15%. В таком случае может быть назначено наблюдение, повторная ТАБ или оперативное лечение.
- Фолликулярная неоплазия – основание для хирургического лечения.
- Подозрение на раковую опухоль ЩЖ – основание для хирургического лечения.
- Рак ЩЖ – основание для хирургического лечения.
Причины
Активностью щитовидной железы управляет другой орган эндокринной системы — гипофиз. Делает он это с помощью тиреотропного гормона (ТТГ). В некоторых случаях щитовидная железа оказывает нечувствительна к нему, выходит из-под контроля, становится неуправляемой. Зоб, который при этом образуется, называется автономным и обычно подлежит хирургическому удалению. Есть и другие причины образования зоба:
-
Аутоиммунная реакция.
По разным причинам иммунная система может стать агрессивной к клеткам щитовидной железы и начать уничтожать их как чужеродные. В ответ на эту агрессию, орган начинает наращивать количество собственных клеток, ускоряя их деление. В результате железа разрастается, увеличивается производство гормонов и образуется диффузный токсический зоб. Так развивается Базедова болезнь.
Если щитовидная железа не может сопротивляться агрессии со стороны иммунной системы, ее клетки гибнут, их количество уменьшается, и уровень тиреоидных гормонов снижается. Погибшие клетки замещаются соединительной тканью — так возникает зоб Хашимото.
Разрастание соединительной ткани в результате аутоиммунного процесса приводит к образованию твердых фиброзных структур. Разрастается «железный» фибропластический зоб Риделя.
-
Ускоренное деление клеток.
Если в гипофизе образуется аденома, выработка тиреотропного гормона (ТТГ) увеличивается. Этот гормон командует активностью щитовидной железы и делением ее клеток. В той области, которая оказывается наиболее чувствительной к действию этого гормона деление клеток ускоряется, и образуется доброкачественная опухоль — аденома.
Ускоренное деление клеток может возникнуть в результате мутации, независимо от гипофиза. В этом случае возникает новообразование, доброкачественное (аденома) или злокачественное (рак).
В случае аденомы клетки, которые должны в силу возраста отмирать, не делают этого, а продолжают делиться, наравне с молодыми клетками, что приводит к образованию узла.
-
Скопление жидкости.
Структура щитовидной железы состоит из маленьких мешочков — фолликулов, наполненных коллоидной жидкостью. Внутренняя поверхность этих мешочков состоит из клеток, производящих гормоны, а жидкость поставляет необходимые для этого вещества — белок и йод. По разным причинам нормальное движение жидкости может нарушиться. Возникает застой, жидкость накапливается в фолликулах, они раздуваются и образуется коллоидный зоб.
-
Недостаток йода.
При нехватке йода производство тиреоидных гормонов снижается, обменные процессы замедляются. Получив сигнал об этом, гипофиз синтезирует больше гормона ТТГ, командуя щитовидной железе увеличить производство гормонов. Для этого ускоряется клеточное деление, образуется большее количество новых клеток. Но производство гормонов остается прежним, их просто не из чего производить. Единственным эффектом оказывается образование зоба.
Зоб, возникший вследствие дефицита йода, называется эндемическим. Это значит, что его образование характерно для населения определенной местности, где в воде и пище недостает йода.
В России таких регионов множество. Для профилактики образования зоба щитовидной железы населению таких местностей (к ним относится и Москва) рекомендуется употреблять продукты, содержащие йод, например, морские водоросли или йодированную соль.
Симптомы зоба щитовидной железы
Часто единственный симптом узлового зоба — видимое расширение шеи и узелки. Часто бывает, что узловой зоб обнаруживается при выполнении тестов по другим причинам, например, при изучении кровотока в сосудах шеи методом ультразвуковой допплерографии.
По мере развития заболевания происходит сдавление пищевода, трахеи, нервов, кровеносных сосудов. Больному становится тяжело дышать, появляется ощущение «кома в горле». Возникают жалобы на удушье, кашель, шум в голове.
Изменённый орган зачастую не может вырабатывать достаточное количество гормонов. У больных наблюдается гипотиреоз – недостаточность гормонов щитовидной железы. Возникают жалобы на отеки, пониженное давление, сонливость, тошноту, снижение аппетита, запоры, увеличение веса, депрессию, непереносимость холода.
У детей наблюдается задержка роста. У женщин болезнь вызывает бесплодие и нарушения менструальной функции, а у мужчин – проблемы с потенцией.
Иногда щитовидная железа начинает вырабатывать лишние гормоны. Возникают потливость, тремор рук, снижение веса, плохой сон, перепады настроения, сердцебиение. В тяжелых случаях появляется экзофтальм – выпучивание глазных яблок.
Причины
К сожалению, сегодня ответить точно на вопрос: почему у детей появляются на щитовидке узлы, не могут даже ведущие эндокринологи мира. Чаще всего специалистам приходится иметь дело с уже развивающимся образованием. Но многие исследования показали, что провоцирующими факторами могут стать:
- отягощенная наследственность;
- дефицит йода в организме ребенка;
- плохая экология;
- радиоактивное излучение;
- нарушение функции самой железы.
Сам орган может функционировать нормально, но при этом у ребенка образуются узлы. Поэтому каждый клинический случай требует грамотного, а главное — индивидуального подхода.
Лечение узлов и кист щитовидной железы
На тактику лечения влияет множество факторов:
- количество патологических очагов в ткани щитовидной железы;
- размер узловых и кистовых образований;
- возраст пациента;
- общее состояние организма.

Если при обследовании выявлено несколько узлов, размеры которых не превышают 1 см, за пациентом необходимо вести динамическое наблюдение: в этом случае не назначаются ни прием лекарств, ни какие-либо иные способы лечения. Единичный небольшой узел тоже может быть оставлен под наблюдением врача, однако примерно раз в 3 месяца рекомендуется проводить повторные исследования и обращаться за консультацией к эндокринологу.
Небольшая киста заполняется склерозирующим раствором, после чего врач может прибегнуть к консервативным методам лечения: например, приему препаратов йода и тиреоидных гормонов. В этом случае ежемесячно необходимо проводить лабораторные исследования, также больного должен осматривать врач. Раз в три месяца необходимо проводить УЗИ органов шеи. Если будет отмечено резкое возрастание уровня гормонов или антител в крови, то от дальнейшего проведения консервативной терапии придется отказаться. При этом больного направляют на обследование, одной из целей которого является исключение у него аутоиммунного тиреоидита.
По результатам пункции может выявиться гнойное расплавление щитовидной железы или ее части. В этом случае для лечения кисты или узлового образования используются антибиотики, назначается дезинтоксикационная терапия. Полученный биоптат подвергается микробиологическому и бактериологическому исследованию, по результатам которого определяется конкретный список препаратов, которые будут назначены пациенту.
Если же объем кисты или узлового образования слишком велик и после пунктирования они вновь заполняются коллоидом, может потребоваться хирургическое вмешательство.
Оперативное лечение позволяет избавить больного от различных симптомов заболевания, а также дает возможность избежать осложнений. Если выявлены доброкачественные кисты или узлы, выполняется частичная резекция (удаление) ткани щитовидной железы: при этом гормональный статус организма пациента не нарушается.
Если в результате исследований выяснится, что узел имеет злокачественный характер, выполняется тотальная струмэктомия, после которой обязательно назначается заместительная гормональная терапия. Так как при тотальной резекции неизбежно будут удалены паращитовидные железы, обязательно назначаются и препараты кальция.
Прогноз в значительной степени связан с гистологической структурой узлового или кистового образования. Если узел доброкачественный, высока вероятность полного выздоровления пациента, но при кистозных изменениях нередко возникают рецидивы патологического процесса.
Если же речь идет о злокачественных образованиях, то успешность лечения зависит от опухоли и от того, насколько она распространилась по организму. Злокачественные узлы и кисты щитовидной железы при отсутствии метастатических отсевов полностью излечиваются у 70-80% пациентов. Также вероятность полного излечения зависит от того, насколько рано была обнаружена опухоль: своевременное выявление ведет к успешному результату, в то время как запущенный случай может даже стать причиной летального исхода, поэтому как можно раньше обратитесь к квалифицированному эндокринологу в ближайший центр.
ОПРЕДЕЛЕНИЕ УЗЛОВОГО ЗОБА (УЗ)
УЗ является весьма распространенным заболеванием щитовидной железы (ЩЖ): вероятность развития в течение жизни пальпируемого УЗ в среднем составляет 5—10%. Примерно с такой же частотой УЗ распространен среди взрослого населения, особенно женщин. Использование современных методов визуализации ЩЖ, в первую очередь ультразвукового исследования (УЗИ), значительно повысило выявляемость очаговых органических изменений в ЩЖ. По некоторым оценкам, до 1/3 женщин старше 30 лет могут иметь те или иные очаговые изменения ткани ЩЖ при УЗИ. Очевидно, что традиционные представления о природе, методах диагностики и лечения УЗ в настоящее время требуют переоценки.
Что же такое УЗ? Является ли это клиническим понятием или УЗ можно называть любое очаговое органическое изменение в ткани ЩЖ, определяемое с помощью современных инструментальных методов визуализации?
На наш взгляд, в первую очередь целесообразно выделять УЗ как клиническое состояние, при котором у пациента в проекции ЩЖ пальпируется образование большего или меньшего размера. Как правило, величина пальпируемого узла превышает 10 мм. Вместе с тем пальпироваться могут узлы и меньших размеров, особенно у детей и худых пациентов со слабо развитой мускулатурой шеи. Для клинициста-эндокринолога именно пальпируемые узлы должны быть объектом наиболее пристального обследования.
С другой стороны, с помощью высокочастотного датчика (7,5 или 10 мГц) методом УЗИ примерно у 1/3 женщин старше 30 лет можно выявить хотя бы один ’’узел” в ЩЖ. Лишь меньшая часть этих ’’узлов” будет доступна пальпации. Большая же часть очаговых органических изменений в ЩЖ имеет очень небольшие размеры (2— 5 мм), не пальпируется, в функциональном отношении они не изменены и не беспокоят пациентов. Оценить морфологическое строение узлов размером менее 5—8 мм чрезвычайно трудно в силу того, что даже методом прицельной биопсии нельзя получить достаточного количества материала для цитологического обследования. Таким образом, клиническая интерпретация мелких (менее 10 мм), функционально неактивных очаговых органических изменений в ЩЖ весьма затруднительна.
По нашему мнению, УЗ следует называть: любое пальпируемое новообразование в проекции ЩЖ (независимо от его размеров); органическое очаговое изменение в ткани ЩЖ, определенное любым диагностическим методом, размером более 10 мм.
Другой терминологической проблемой является то, что УЗ является, с одной стороны, собирательным клиническим понятием для всех очаговых органических поражений ЩЖ, с другой стороны, существует морфологическое понятие узлового коллоидного пролиферирующего зоба как отдельной нозологической формы патологии ЩЖ. В табл. 1 дается определение основных терминов, применяемых в настоящей статье.
Таблица 1
УЗ: Основная терминология
- Зоб — увеличение ЩЖ (по данным УЗИ объем ЩЖ > 18 мл у женщин и > 25 мл у мужчин).
- УЗ (клинический термин) — собирательное клиническое понятие, объединяющее все очаговые образования ЩЖ, имеющие различные морфологические характеристики.
- УЗ (морфологический термин) — спорадический или эндемический коллоидный пролиферирующий зоб в виде инкапсулированного узла.
- Солитарный узел — единственное очаговое образование в ЩЖ.
- Многоузловой зоб — множественные очаговые образования в ЩЖ, не спаянные между собой.
- Конгломератный УЗ — несколько узлов в ЩЖ, тесно спаянные между собой и формирующие конгломерат.
- Опухоли ЩЖ: аденома — доброкачественная, хорошо инкапсулированная опухоль; аденокарцинома — злокачественная опухоль.
- Гиперплазия — увеличение числа клеток в органе.
- Гипертрофия — увеличение размеров клеток или органа.
- Псевдоузел при аутоиммунном тиреоидите (АИТ) — локальная гипертрофия отдельных долек ЩЖ, имитирующая узел.
- Истинный узел на фоне АИТ — узел, имеющий капсулу.
- Функциональная автономия узла — способность узла к автономному (независимому от тиреотропного гормона — ТТГ) синтезу и секреции тиреоидных гормонов.
Вопросы
Добрый день! Основываясь на перечисленные Вами жалобы, советую не проводить оперативное вмешательство. Если анализы в норме и кроме небольшого выпирания в области шеи зоб не доставляет проблем общему здоровью, с ним можно жить долгие годы.
При осуществлении хирургической операции, оперирующий специалист полностью удалит щитовидную железу. Ведь повторные рецидивы лечатся сложнее, и реабилитация занимает больше времени. При полном отсечении органа останутся только паращитовидные железы. Нормализовать их работу придётся при помощи гормональных препаратов.
Вам будет необходимо часто посещать консультацию эндокринолога для контроля показателей гормонов. Если же Вы всё же решите провести оперативное вмешательство и удалить щитовидную железу, постарайтесь выбрать клинику, в которой операцию проводят при помощи эндоскопа. Это малокровный метод с меньшим количеством нежелательных последствий.
Здравствуйте! Реабилитационный период после удаления щитовидной железы длиться достаточно долго. У некоторых пациентов нормализуется гормональный фон в течении 3 – х лет и это считается нормой. Каждый организм индивидуален.
Вы не описали, полностью ли Вам удалили орган. Если да, то выполняйте все рекомендации врача и посещайте консультации. Если отсекли лишь фрагмент железы, то лучше рассказать о своих жалобах оперирующему врачу, пройти дополнительную диагностику и посмотреть, что стало с органом за прошедшие 6 месяцев.
Если оставшиеся узелки увеличились в размере или образовались новые, то необходимо провести повторную операцию. По поводу шва не беспокойтесь. Если кожа затянулась, не гиперемирована и из раны не выходит сукровица, отсутствую гнойные выделения, то всё в порядке.
Заживший шрам может болеть при повторном увеличении щитовидной железы (если она не была отсечена полностью) или при изменении погоды. Линия посветлеет в ближайшее время при отсутствии воспалительного процесса. С момента проведения операции прошло достаточно времени для этого.
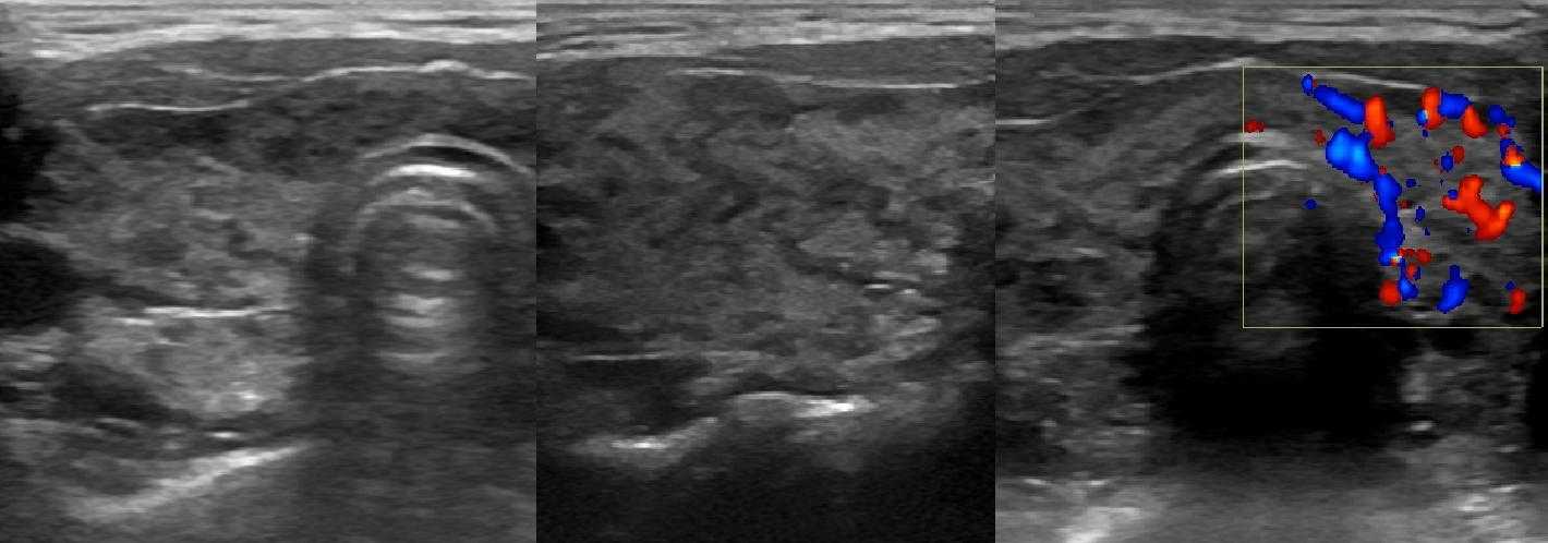
Аутоиммунный тиреоидит (АИТ) на УЗИ
Хронический аутоиммунный тиреоидит — это аутоиммунное заболевание, при котором лимфоциты атакуют клетки щитовидной железы. На месте погибших клеток образуется фиброзная соединительная ткань, синтез гормонов постепенно снижается.
АИТ подтверждают положительные антитиреоидные антитела – к тиреопероксидазе (АТ-ТПО) и тиреоглобулину (АТ-ТГ). Функциональное состояние железы может быть различным – гипер-, гипо- или эутиреоз.
Различают гипертрофическую и атрофическую формы АИТ. При гипертрофической форме объем железы значительно увеличен. При атрофической форме объем железы уменьшен или в пределах нормы, часто сопутствует гипотиреоз. Являются эти формы вариантами развития или последовательными стадиями АИТ — вопрос открытый.
При аутоиммунном тиреоидите на УЗИ паренхима гипоэхогенная, грубонеоднородной за счет узелков (2-6 мм) разной эхогенности, неправильной формы. Очаги изоэхогенные к ткани слюнных желез пока не вовлечены в воспаление; в резко гипоэхогенных фокусах воспаление максимально выражено; в гиперэхогенных округлых или линейных структурах произошло замещение паренхимы на соединительную ткань. При тиреоидите Хашимото аномальная УЗ-картина сохраняется на протяжении всей жизни пациента. Подробнее смотри Аутоиммунная щитовидная железа на УЗИ (лекция на Диагностере).
Рисунок. Девочка 10-ти лет с эутиреозом и антитиреоидными антителами. На УЗИ щитовидная железа увеличена в 1,5 раза — 13 см3 (норма до 8,3 см3). На фоне неизмененной паренхимы определяются гипоэхогенные «змеи» (лимфоидная инфильтрация по ходу сосудов). Кровоток заметно усилен. Заключение: АИТ, гипертрофическая форма. Аналогично может начинаться диффузный токсический зоб.

Рисунок. Пациент с гипотиреозом и антитиреоидными антителами. На УЗИ щитовидная железа диффузно увеличена; контур волнистый; на фоне нормальной паренхимы в большом количестве гипоэхогенные очаги (3-5 мм) с четким контуром без «гало». Заключение: АИТ, гипертрофическая форма.
Рисунок. Пациент с гипертиреозом и антитиреоидными антителами. На УЗИ щитовидная железа диффузно увеличена; на фоне общего снижения эхогенности определяются гипоэхогенные включения (2-4 мм) и линейные гиперэхогенные структуры; кровоток заметно усилен. Заключение: АИТ, гипертрофическая форма.

Какие бывают операции
Сегодня есть несколько направлений хирургического лечения зоба щитовидной железы:
- классические открытополостные – через прямой доступ;
- эндоскопические, характеризующиеся более низкой степенью инвазии (не требующие большого разреза);
- малоинвазивные методы.
Раньше практиковали щадящие органосохраняющие способы, когда узел иссекался, но окружающие его ткани оставались нетронутыми. Но в последнее время от этого отказались, потому что подобный подход сопряжен со значительными риском рецидивов.
Помимо этого, после операции по удалению зоба, на щитовидке формируется довольно упругая фиброзная ткань, которая существенно затрудняет осуществление повторной резекции. На данный момент практикуют иссечение одной доли органа или тотальное его удаление (таблица).
Таблица. Виды хирургических вмешательств на щитовидной железе, в зависимости от объема удаляемой ткани:
| Операция | Комментарий |
|
|
Иссечение одной доли органа совместно с перешейком. |
|
|
Нередко под этим термином подразумевают частичную тиреодиэктомию – удаление большей части ЩЖ, но небольшая часть ее остается и усиленно функционирует. |
|
|
Тотальное (полное) иссечение органа вместе с его перешейком (при раке удаляется близлежащая клетчатка и регионарные лимфатические узлы). |
Классическая операция
На данный момент этим способом проводится большинство хирургических вмешательств по удалению зоба щитовидной железы. Для получения доступа к органу в нижней части шеи выполняется рассечение кожи и подкожной клетчатки (6-8 см).
Таким образом врач получает хороший обзор и место для манипуляций, что позволяет осуществлять любые манипуляции во время проведения операции. После иссечения, с целью уменьшения косметических дефектов, рану ушивают современными полипропиленовыми нитками для швов, например, такими, которые могут рассасываться самостоятельно.
В некоторых случаях используют особый послеоперационный клей, который достаточно просто смыть водой спустя определенное время.
Эндоскопические операции
Эндоскопическая тиреоидэктомия
Лапароскопическая методика позволяет проводить иссечение через небольшой прокол кожи, но цена такого лечения будет дороже. В операционную рану вводятся микроинструменты и маленькая камера, которая снимает и выводит все манипуляции на монитор, поэтому хирург может с большой точностью рассматривать даже самые мелкие детали происходящего. При надобности есть возможность увеличить изображение или сделать фото.
Таким образом все действия осуществляются подкожно. Разрезы на щитовидке выполняются с помощью особого ультразвукового скальпеля, при работе которого ткани разделяются без крови.
Травматичность (благодаря увеличению) в этом случае будет минимальной, например, врач отчетливо различает нервы, поэтому отводит их в стороны. При оперировании классическими методами подобные травмы случаются с регулярной периодичностью.
Малоинвазивные методы
Подобные методики трудно назвать операциями, но определенное радикальное вмешательство все же осуществляется. В этом случае ткани щитовидной железы разрушаются изнутри (внутритканевая деструкция) под ультразвуковым наблюдением без повреждения здоровых структур.
Основные показания для использования таких способов – мелкие одиночные узлы, которые являются причиной косметических дефектов или синтезируют чрезмерно высокие дозы тиреоидных гормонов. Чаще всего данные методы назначают ослабленным лицам преклонного возраста, для которых противопоказаны традиционные и эндоскопические операции.
Среди основных способов данной категории выделяют такие:
- этаноловая склеротерапия – инъекция этилового спирта (96%) в узел;
- лазериндуцированная термотерапия – физическое воздействие на новообразование пучком лазерных лучей;
- радиочастотная термодеструкция – влияние на зоб ЩЖ преобразованного электромагнитного излучения.
Последние два способа физического воздействия на ткани являются наиболее действенными. Тем не менее указанные методики не получили пока широкого признания и распространения, поскольку часто не удается полностью и окончательно (даже за несколько процедур) избавиться от зоба. К тому же остатки клеток становятся причиной рецидивов и болезнь возвращается снова.
Первые признаки и симптомы зоба щитовидной железы
Подавляющее большинство пациентов не имеет каких-либо симптомов, если продукция гормонов в норме. Увеличение нижней трети шеи возможно при диффузном или многоузловом зобе, отдельные узелочки до сантиметра не меняют конфигурации шеи.
Возможно сдавление трахеи при очень большом размере или при расположении основного массива железистых тканей за грудиной, а также увеличение диаметра шейных сосудов и изменение голоса до осиплости.

Неадекватная продукция гормонов не коррелирует с размерами железы и узлов, симптомы тиреотоксикоза или гипотиреоза неочевидны и неспецифичны, а проявляются нарушением функционирования органов-мишеней: сердечно-сосудистой системы, нервной, подкожно-жировой клетчатки, кожи и мышц.
Изначально пациент жалуется на сердцебиение, нервозность, нарушение сна и концентрации, снижение или прибавку веса. Проводится не находящее сердечной патологии кардиологическое обследование, и только в анализе крови обнаруживается ненормальное содержание гормонов.
Очень редко встречается классическая тиреотоксическая триада: сердцебиение с дрожью и экзофтальмом — выпученными глазами. Пожилой пациент может попасть в стационар с тромбозом и нарушением сердечного ритма при визуально не определяемой патологии, но выделяющей слишком много гормонов.
Очень нечасто развивается аденома, продуцирующая избыток тиреоидных гормонов, почти 80% тиреотоксикоза обусловлено диффузным увеличением.





















Гемитериоидэктомия
Субтотальная резекция
Тиреоидэктомия









